中高年の膝の痛み
森ファミリー接骨院
(名古屋市中川区・港区)

名古屋市のおすすめ
接骨院ランキング1位
に選ばれました!

名古屋市の接骨院590院中で1位
(業界No1検索サイトの接骨ネット)

  • 歩くときに膝が痛い
  • 歩く時はいいが階段の昇り降りが痛い
  • 病院・整形外科で年のせいだから仕方ないと言われた
  • 病院・整形外科で注射や湿布しかしていない
  • 病院・整形外科でマッサージや電気治療しかしていない
  • 膝の曲げたり・伸ばしたりが動かしにくい
  • 病院・接骨院・整体などに行ったが膝の痛みが取れない
  • 膝の痛みで旅行やスポーツが思うようにできない
  • レントゲンではわからない膝の痛みの原因を知りたい
  • 湿布や痛み止めの薬でごまかしている
  • 仕事終わりでも通える所を探している
  • 膝の痛みを繰り返している
  • 手術(人工関節手術)をしたくない

なぜ膝の痛みが起こるのか?

  • 膝の関節が正しく動けていない
  • お皿の動きが悪い
  • 膝の周りの筋肉が硬い
  • 膝の筋力が弱い
  • 体幹筋力の低下
  • O脚変形
  • 姿勢不良(骨盤の歪み)

なぜ膝の痛みがなかなか良くならないのか?

膝の痛みの原因は加齢による変形もありますが、年齢により膝周囲の筋肉が硬くなったりして、本来の膝関節の正しい動きが制限されていることによって負担がかかり痛みが生じる事がほとんどです。

負担がかかり炎症を起こしているから痛いだけです。痛みがない時にレントゲンを撮っても痛い時と同じ画像がうつります。一度変形したものは元には戻りません。余程重度の変形でない限り痛み自体はリハビリで良くなることがほとんどです。

安静や湿布ではなく、痛みを出している組織に負担がかからないよう膝周囲の筋肉や関節の動きを正常化することが痛みを取ること、またこれから先、変形を進行させないために最も大事になります。

注射や電気治療のみでは対処療法で根本治療にならないのです!

当接骨院では原因をみつけ、骨格・筋肉・関節・神経に対して根本治療を行います

患者さまの声

長年悩んでいた膝の痛みが軽減しました。

名古屋市在住

外出が出来るようになりました。

長年、膝の痛みに悩んでおりましたが、こちらの治療を受けて本当に助かりました。特に、骨盤矯正と超音波の特殊治療器がとても効果的でした。治療を続けるうちに、痛みがどんどん和らいでいくのを感じ、今では日常生活がとても楽になりました。長く歩いても症状が出現しなくなり、外出も楽しめるようになりました。スタッフの皆さんも親切で、丁寧に対応してくださり、安心して通うことができました

患者さまの声

膝の痛みが楽になった

名古屋市在住

病態の説明を丁寧にして貰いました。

膝の痛みで来院しました。先生は非常に丁寧に病態を説明してくださり、日常生活での注意点やセルフトレーニング、ケアの方法まで教えていただきました。そのおかげで、痛みが大幅に軽減され、日常生活がとても楽になりました。家でもできるケア方法を教えてもらえたので、自分でも積極的に取り組むことができ、効果を感じています。膝の痛みでお悩みの方には、ぜひこちらの接骨院をオススメします。

森式・骨盤矯正

膝痛の原因は背骨・骨盤ズレから膝関節に負担が集中してしまう事が原因だと言われています。

当接骨院の膝痛治療、骨盤矯正の本場アメリカから導入した骨格矯正専用の特殊ベッド(トムソンベッド)を用いて本格的な骨盤矯正を行います。

強い痛みに効果的なコンビネーション治療器

膝痛に非常に効果が期待できる最新のコンビネーション治療。腰痛の時に生じる炎症の軽減に非常に有用です。

通常の電気ではないハイボルテージの電気刺激とより深部の筋肉や関節まで伝わる超音波刺激を同時にあてる人気の最新治療器です。

中川区や名古屋市港区内ではほとんどおいていない治療機器であり、プロのトップアスリートが使用する最先端の治療機器にて痛みの緩和を行っていきます。

膝筋肉の強化(EMS)

慢性的な膝痛のある方は膝筋肉の機能が低下し、関節に負担が大きくなることによって生じます。当接骨院は膝痛の再発を防ぐために姿勢の改善や呼吸法の改善にはインナーマッスルの強化がおすすめです。

膝の軟骨負担軽減

膝痛の原因は歩き方が悪い事で足裏の外側に体重がかかることが原因。猫背、反り腰に対して施術やセルフエクササイズにより症状軽減を目指します。

当院が膝痛治療で選ばれる理由

骨盤矯正技術の認定院

当接骨院は機械中心の治療ではなく、しっかりと“ 手 ”で治療を行い膝痛に対しての治療効果にこだわります。

名古屋市内でも数少ない日本骨盤矯正技術協会から認定を受けております。

その他にも膝痛治療や骨盤矯正のセミナーなど数多く参加し日々技術向上に努めております。

中川区・港区で唯一
リハビリ専門資格をもつ接骨院

当接骨院は中川区・名古屋市港区で唯一リハビリ専門の国家資格である“ 学療法士 ”の資格をもつ接骨院です。病院でのリハビリ資格となり、より専門的なリハビリ治療ができると評判です。

理学療法士の国家資格をもつ接骨院は全国でも1%未満

整形外科病院での豊富な治療経験

整形外科専門病院で10年間の勤務実績

名古屋市枇杷島にある米田病院(役職:リハビリ科チーフ)での長年の勤務実績があり、あらゆる膝の痛みやしびれ、また手術後や重症度の高い患者様のリハビリ治療を多数行ってきました。

当接骨院では他の病院・整形や接骨院でなかなか良くならないため遠方からご来院される方も多くいらっしゃいます。

当院での治療実績

当接骨院では月平均で120人以上の新しい患者さんが来院(業界平均は月10~20名)され、年間2万人以上の患者さんを治療しております。

全員国家資格をもつスタッフが対応致します。

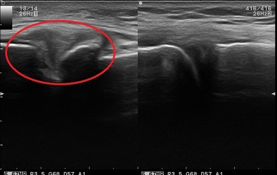
60歳 男性 左膝関節の痛み(変形性膝関節症)

当院来院時

患者本人の膝関節

スタッフの膝

整形外科にて通院・リハビリをするも膝関節の痛み変わらず当院に来院。

現在、歩いての痛み、階段の上り下りでの痛み。しゃがみ込みの痛みあり。

エコー観察下にて、膝関節の変形・軽度の水腫ありと判断。

当接骨院の治療

膝関節のアライメント修正。

日常生活動作指導。

72歳 男性 右膝関節の痛み(変形性膝関節症)

当院来院時

左:患者の膝
右:スタッフの膝

整形外科にて手術適応と言われるも、保存療法(手術しない)を選択。

当院のエコー観察下にて軟骨の変性・関節変形を確認。

当接骨院の治療

歩き方指導。

膝関節の矯正。

軟骨再生の運動を指導。

原因・病態

中高年の膝の痛みは膝の内側の痛みと膝の前面(お皿まわり)の痛みを訴えることが多いです。

膝の内側の痛みはO脚変形など関節の内側に荷重が集中することで膝の軟骨が徐々にすり減り痛みが出現してきます。膝の治療だけではなく、足関節や股関節の動きが悪く膝への負担がかかっているケースが多くあります。膝の内側の痛みの方は歩くときに痛みがでやすいことが多いです。

膝蓋骨(お皿周囲)の痛みの方は階段の昇り降りや立ち上がりなど膝を曲げた状態の動きで痛みが生じることが多くみられます。

膝蓋骨につく筋肉の硬さや膝蓋骨の動きが悪くお皿周りに負担が集中することが原因のことが多くあります。また膝の前面の筋肉ばかり使う間違った使い方の癖になっている方が多いため股関節や膝の裏の筋肉を正しく使えるように指導しています。

中高年の膝の痛みででやすい症状

①歩く際や立ち上がりなどでの膝の痛み

②膝の曲げ伸ばしの動きが悪くなる。

③膝に水がたまる

④膝が変形する(O脚変形など)

リハビリ治療

変形性膝関節症で痛みの多い部位は、膝蓋骨(お皿まわり)と膝の内側です。

膝を曲げたり伸ばしたりする動作で痛みがあると、膝を動かしたくなくなるため、動く範囲が狭くなってしまいます。

そうなると、特に膝蓋骨(お皿まわり)の周囲や膝の裏の筋肉が硬くなってしまうため、また動きが悪くなるという悪循環になってしまいます。

 

膝蓋骨(お皿まわり)には、筋肉だけでなく脂肪も存在しており、この部分は特に硬くなりやすいためしっかりと柔軟性を確保する必要がありますが、やりすぎると膝に炎症を起こすことがあるため、注意が必要です。

 

また変形性膝関節症の方は膝をまっすぐに伸ばすことができないことが多いため、膝の裏の筋肉が硬くなっていることがあります。

 

膝の裏の筋肉の多くは膝だけでなく股関節・足関節にも関係しているため、それらの関節の動きも悪くなっていることが多いです。

この場合には、ストレッチなどで主に太ももの裏やふくらはぎの筋肉をしっかりと柔らかくしていくことで、膝だけでなく股関節・足関節の動きも改善することにつながります。

 

また、痛みで膝が動かしにくいことにより、大腿四頭筋(膝の前の筋肉)の力が低下していることがある場合には、チューブなどを使用して適切な筋力をつけていくことが必要です。

 

大腿四頭筋だけでなく、お尻の筋肉や太ももの裏の筋肉もバランス良く使えるようにしていくと、膝の負担も減っていきます。

なので膝の痛みがある程度まで減ってきたら、股関節や膝の裏の筋肉を正しく使えるように練習していきます。

日常生活での注意点

・肥満であれば減量する。

・正座を避ける。

・急に痛むときは冷やすが、慢性化したら温めて血行をよくする。

・適度な運動を心がける。

・必要に応じて杖を使う。

料金

膝だけでなく他の関節含め、筋力・関節可動性など根本的な原因追及と治療を行っていきます

初診料 2000~3500円

お電話でのお問合せはこちら
森ファミリー接骨院(中川区・名古屋市港区)

052-383-1112

執筆者
柔道整復師・理学療法士
森ファミリー接骨院 院長 森
 

当院では子供から高齢者までどんな症状でも対応できる自信と豊富な経験があります。

常に患者さんが納得できる説明を心がけ、最適なリハビリ治療を行います。

常に最新の知識や技術勉強会へ参加し、少しでも患者さんの力になれるよう努めています。

中川区・名古屋市港区を中心に中村区、熱田区、南区、緑区、中区、昭和区、あま市、蟹江町、弥富、飛島など名古屋市外からも多くの方にご来院いただいております。

痛みやしびれ、ケガ、交通事故後の後遺症などで悩まれている方の少しでもお力になれればと思っております。

リハビリ治療が評判の森ファミリー接骨院(中川区・名古屋市港区)へご相談下さい。

お電話でのお問合せはこちら

052-383-1112

名古屋市港区・中川区を中心に、

変形性膝関節症・膝関節周囲の痛みでお困りの患者様に来院いただいております。

サイドメニュー

パソコン|モバイル
ページトップに戻る