名古屋市のおすすめ
接骨院ランキング1位
に選ばれました!

名古屋市の接骨院590院中で1位
(業界No1検索サイトの接骨ネット)

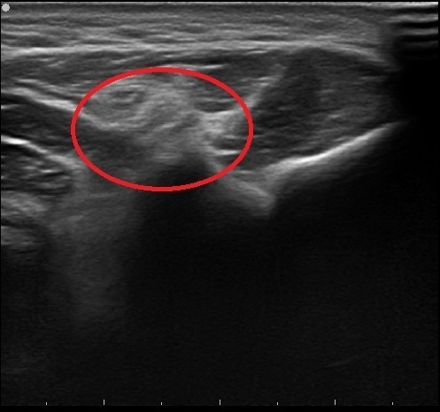
47歳 男性 両肘の痛み

当院来院時

左:患側
右:スタッフ健常者の肘

1週間前より両肘に痛み出現。

ベンチプレストレーニングをした翌日に痛み増悪するため、当院来院。

エコー観察にて関節内の水腫があると判断。

トレーニングを2週間休止するよう指示。

 

 

当院の治療

組織治癒促進効果のある機器

組織治癒を促進するコンビネーション治療を施行。

ストレッチ、運動指導。

52歳 女性 右肘の痛み

当院来院時

左:患側
右:健側

1週間前より右肘と右小指に痛み出現。痛み増悪傾向のため、当院来院。エコー観察下にて神経の腫れと周囲の水腫を確認。

当院の治療

組織治癒促進効果のある機器

1週間にて神経の腫れ、周囲の水腫軽減傾向

組織治癒を促進するコンビネーション治療を施行。

肘関節の負担を減らすテーピングを施行。

ストレッチ、運動指導。

 

1週間経過にて右肘と右小指の痛み・腫れ軽減。

エコー観察下にて神経の腫れ、周囲の浮腫軽減と判断。

65歳 男性 右肘の痛み

当院来院時

エコー観察にて尺骨神経の損傷とは判断

1週間前にタンスを持ち上げた際に右肘関節に痛み出現、肘から小指にかけしびれも出てきたため当院来院。エコー観察にて尺骨神経の損傷と判断。

当接骨院の治療

組織治癒促進効果のある機器

肘関節(尺骨神経)周辺の筋肉ストレッチ。リラクゼーション。神経組織治癒促進効果のある超音波治療開始。肘関節をなるべく曲げないよう(尺骨神経に対してストレスがかからによう)指示。

肘の痛み
森ファミリー接骨院
(名古屋市中川区・港区)

疾患別への詳細
病名をクリックして下さい

執筆者
柔道整復師・理学療法士
森ファミリー接骨院 院長 森
 

当院では子供から高齢者までどんな症状でも対応できる自信と豊富な経験があります。

常に患者さんが納得できる説明を心がけ、最適なリハビリ治療を行います。

常に最新の知識や技術勉強会へ参加し、少しでも患者さんの力になれるよう努めています。

中川区・名古屋市港区を中心に中村区、熱田区、南区、緑区、中区、昭和区、あま市、蟹江町、弥富、飛島など名古屋市外からも多くの方にご来院いただいております。

痛みやしびれ、ケガで悩まれている方の少しでもお力になれればと思っております。

リハビリ治療が評判の森ファミリー接骨院(中川区・名古屋市港区)へ一度ご相談下さい。

お電話でのお問合せはこちら

052-383-1112

サイドメニュー

パソコン|モバイル
ページトップに戻る