太もも(ハムストリングス)肉離れ
森ファミリー接骨院
(名古屋市中川区・港区)

名古屋市のおすすめ
接骨院ランキング1位
に選ばれました!

名古屋市の接骨院590院中で1位
(業界No1検索サイトの接骨ネット)

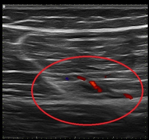
14歳 女性 左臀部肉離れ 症例1

当院来院時

筋膜と筋組織に低エコーにて確認

1週間前より左腰部に痛みあり、競技を続けるも痛み増悪し、当院来院。

エコー観察にて左大臀筋・中臀筋の筋膜損傷・中殿筋肉離れと判断。

また、血流反応も確認。

テーピング固定を施行。

当院の治療

組織治癒促進効果のある機器

本来圧迫による治療が必要だが、スポーツの試合が近く出場希望のため、テーピング固定により対応。

試合が終わり次第、2週間の運動休止、テーピング固定継続。

固定除去後、再発予防の運動指導。

体の使い方指導。

14歳 男性 右股関節内側の痛み 症例2

当接骨院来院時

左:肉離れ   右:筋膜損傷

野球の投球フォームにて右股関節の内側に痛み出現。痛み継続のため、当院来院。

エコー観察にて右大内転筋の肉離れと判断。

包帯固定にて対応。

当院の治療

2週間の包帯固定。開脚動作を禁止し、それ以外の動作は可能なため、ランニング、トレーニング、バッティング等は行うように伝えた。

固定除去後、投球フォームの指導・ストレッチ指導

11歳 男性 左うらももの痛み 症例3

当接骨院来院時

筋膜と筋組織に低エコーにて確認

ランニングにてうらももに痛み出現。しばらく様子みるも痛み変わらず当院来院。エコー観察下にて肉離れと判断。

当院の治療

組織治癒促進効果のある機器

組織治癒促進効果のある超音波(オステオ)にて治療開始。

2週間の運動休止を行い、ストレッチ痛がなくなり次第トレーニング等開始。

15歳 男性 右内股の痛み 症例4

当接骨院来院時

筋膜と筋組織に低エコーにて確認

2週間前にサッカー(キーパー)の蹴る動作にて右股関節の内側に痛み出現。

しばらく様子を見るも、痛み変わらず当院来院。

エコー観察下にて筋組織の損傷後を確認。

固定は必要ないと判断し*、筋組織のストレッチとリリースを施行。施術直後、痛み軽減。

 

*痛みから2週間経過しており、エコーにて筋組織ができつつあると観察した上で、固定は必要ないと判断。また、ストレッチと筋肉をほぐす事で改善すると見込み治療を行った。

当院の治療

組織治癒促進効果のある機器

組織治癒促進効果のある超音波(コンビネーション)治療を施行。

痛みの出る動作(蹴る動作)以外は、サッカー許可とした。

肉離れとは?

肉離れを起こした筋肉では、筋線維が腱や腱膜との連結部で断裂しています。画像検査の進歩によって、それが明らかになってきました。

大腿部は肉離れが起こりやすい部位で特に大腿部の後ろ側にあるハムストリングは最も肉離れを起こしやすい筋肉です。

ハムストリングは外側の大腿二頭筋、内側の半腱様筋、半膜様筋という3つの筋肉から構成されています。(図1)これらは、膝関節と股関節を越える2関節筋で膝を曲げる、大腿部を後方へ引くという働きは共通しています。

発生機転

肉離れは多くの場合、筋肉が伸ばされながら力を発揮する伸張性収縮のときにおこると考えられています。走るときについていえば、前に振り出した足で接地し、大腿部を後ろに引いて体を推進させる瞬間、ハムストリングは伸張性収縮を行っています。

 

症状

全力疾走をしている時などに突然鋭い痛みが起こります。時にはブチッという断裂音が聞こえることもあります。痛みによって筋力が発揮できずストレッチを行うのも困難になります。

エコーによる観察

肉離れの多くは発生機転と痛み場所を確認することで診断可能ですが、筋線維にどの程度損傷が起きているかを明らかにするためにはエコー検査が優れています。

エコー検査にて損傷状態、治癒していく過程を観察できるため競技復帰する目安の一つにしています。

治療

初期にはRICE処置を行い、症状に応じて徐々にストレッチや筋力強化を進めていきます。特に再発が多いので予防のためのトレーニングが大切になります。スポーツの復帰は健側と同じ通常のストレッチ感になるまではジャンプやダッシュは避けるべきでしょう。

ハムストリングのストレッチ
ヒップリフト
(殿筋、ハムストのトレーニング)
レッグカール
ノルディックハムスト

執筆者
柔道整復師・理学療法士
森ファミリー接骨院 院長 森
 

当院では子供から高齢者までどんな症状でも対応できる自信と豊富な経験があります。

常に患者さんが納得できる説明を心がけ、最適なリハビリ治療を行います。

常に最新の知識や技術勉強会へ参加し、少しでも患者さんの力になれるよう努めています。

中川区・名古屋市港区を中心に中村区、熱田区、南区、緑区、中区、昭和区、あま市、蟹江町、弥富、飛島など名古屋市外からも多くの方にご来院いただいております。

痛みやしびれ、ケガ、交通事故後の後遺症などで悩まれている方の少しでもお力になれればと思っております。

リハビリ治療が評判の森ファミリー接骨院(中川区・名古屋市港区)へご相談下さい。

お電話でのお問合せはこちら

052-383-1112

名古屋市港区・中川区を中心に、肉離れの痛みでお困りの患者様に来院いただいております。

森ファミリー接骨院
のご案内

名古屋市中川区東起町4丁目121-4

サイドメニュー