上腕骨頸部骨折
森ファミリー接骨院
(名古屋市中川区・港区)

名古屋市のおすすめ
接骨院ランキング1位
に選ばれました!

名古屋市の接骨院590院中で1位
(業界No1検索サイトの接骨ネット)

症状

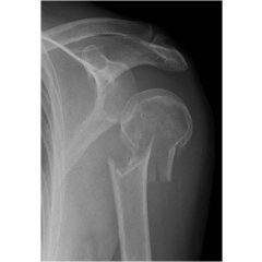
上腕骨近位端骨折は高齢者の特に骨粗鬆症のある患者が転倒した際におこりやすいです。(図1)

症状として、局所の自発痛と運動制限が強く上肢の挙上が制限されます。転位の少ないものは局所の圧痛のみの場合もあるが、2-3日後には皮下出血が肩~胸部、上腕に広がってきます。

図1 転倒して手をついた際におこりやすい

治療

転位の少ない症例では三角巾とバストバンド固定にて安静を保ちます。この骨折では後遺症として肩の拘縮が一番の問題となるため、最近では早期より振り子運動(図4)を行うことが多いです。積極的な挙上練習は6週ごろより行います。

骨折の治療期間を約40%短縮。
20分間超音波治療器を骨折部に直接あてます。痛みなどの刺激は全くないため子どもでも安心してご利用可能です。

当院の酸素カプセルは中川区・港区で唯一の最新型酸素カプセルです。通常の酸素カプセルよりも高濃度酸素を実現し早期回復を促します。

  • 1
    固定中の治療

【保険内治療】

①固定中は関節を動かさないことにより筋肉の硬さなどが生じます。固定が外れた後に関節が硬くなり動きが悪くなることを予防することが早期回復に絶対必要になります。硬くならないよう早期からリハビリ治療をすることが重要です。

【以下は保険外治療になります】

1日でも早く回復されたい方向け

超音波骨折治療器(オステオトロン) 300円/1回

骨折に対する最新の専用治療器であるオステオトロンを使用することで骨折の早期回復が期待できます。(骨折の治癒期間を約40%短縮)。

酸素カプセル治療 2000円~/1回

世界のトップアスリートがケガの治療で使用し早期復帰を実現している酸素カプセル!

1日でも早く骨折を回復させたい方が使用し早期復帰を実現しております。

  • 2
    固定が外れてからのリハビリ(保険治療

固定により肩甲骨周囲筋の筋力低下や肩関節の周囲組織の癒着により運動制限が生じます。当院ではリハビリ専門職である理学療法士の資格をもった施術者が状態にあわせた適切なリハビリ治療を行っております。しっかりとリハビリを行うことによりほとんどが日常生活に支障ない状態まで回復することが可能です。

スポーツ復帰にむけたアスレティックリハビリテーションも積極的に行っているためスポーツをされている方も安心して治療をお任せ下さい。

執筆者
柔道整復師・理学療法士
森ファミリー接骨院 院長 森
 

当院では子供から高齢者までどんな症状でも対応できる自信と豊富な経験があります。

常に患者さんが納得できる説明を心がけ、最適なリハビリ治療を行います。

常に最新の知識や技術勉強会へ参加し、少しでも患者さんの力になれるよう努めています。

中川区・名古屋市港区を中心に中村区、熱田区、南区、緑区、中区、昭和区、あま市、蟹江町、弥富、飛島など名古屋市外からも多くの方にご来院いただいております。

上腕骨頸部骨折による痛み、可動域制限などの後遺症のリハビリなどで悩まれている方の少しでもお力になれればと思っております。

リハビリ治療が評判の森ファミリー接骨院(中川区・名古屋市港区)へご相談下さい。

お電話でのお問合せはこちら

052-383-1112

森ファミリー接骨院
のご案内

名古屋市中川区東起町4丁目121-4

サイドメニュー