名古屋市のおすすめ
接骨院ランキング1位
に選ばれました!

名古屋市の接骨院590院中で1位
(業界No1検索サイトの接骨ネット)

太ももの打撲(モモカン)の超音波エコーでの評価

①筋肉が腫れている

打撲をうけた筋肉がどの程度腫れているのかを評価して、安静度や損傷の程度を適切にお伝えしております。

②血腫(深層の筋内)

打撲をうけた部位に血腫が認められます。

骨に近い深層での血腫

➂血腫(表層の筋内)

打撲をうけたことにより筋肉損傷を起こし、血腫が認められます。

比較的浅層での血腫になります。

16歳 男性 右太ももの打撲(ももかん)①

当接骨院来院時

エコー観察

バスケットボール中に相手の膝が右のふとももに当たり受傷(モモカン)。

膝関節の動作時痛著明、ふとももへに圧痛著明。

エコー観察下にて外側広筋と大腿筋膜張筋の筋挫傷、筋膜損傷と判断。

当接骨院の治療

圧迫包帯

圧迫包帯にて対応。

3週間の運動休止とした。

痛みがある状態での運動により、筋肉が骨化する可能性があります。

運動開始時期は、慎重に判断します。

治療経過

受傷から1週間後

受傷から1週間後

1週間のエコー観察にて高エコー減少傾向。水腫軽度あり。痛み軽減傾向。膝関節曲げ110°にて痛みあり。包帯固定継続。

18歳 男性 左太ももの打撲(ももかん)②

当接骨院来院時

エコー観察

1週間前にサッカーのキーパーにて真横に飛んだ際に左のふとももを地面に強く打ち受傷。他の接骨院に行くも痛み強く、当院来院される。エコー観察下にてふとももの血腫あり(ももかん)。包帯にて対応

当接骨院の治療

圧迫包帯

圧迫包帯にて対応し、2週間の運動休止。

電気治療開始。

治療経過

受傷から1週間後

治療から1週間にて血腫・水腫の軽減。膝関節の曲げの痛み改善傾向。

・治療から3日後に水腫・痛みの減少。

可動域の改善

 

・治療から1週間後のエコー観察下にて血腫・水腫の軽減。膝関節の曲げの痛み改善傾向。

13歳 男性 太もも打撲(ももかん) 症例③

当院来院時

左:患側
右:健側

数ヶ月前にサッカーにてももかん(太もも打撲)をし、しばらく様子を見ていた。

現在、しこりが気になり、時々痛みがあるため当院来院。

エコー観察下にて、筋打撲の痕・軽度の水腫を確認。

当接骨院の治療

左:治療前
右:治療後

組織治癒促進効果のある超音波機器(コンビネーション)治療を施行。

ストレッチとサッカーの運動指導。

15歳 男性 太もも打撲(ももかん) 症例④

当院来院時

左:患側
右:健側

サッカー(キーパー)プレイ中に相手の足が右ふともも前面に当たり受傷。サッカー終了後、膝が曲げられないほどの痛みであり、翌日当院来院。エコー観察下にて打撲(ももかん)と判断。包帯固定。

 

当接骨院の治療

左:治療前
右:治療後

圧迫包帯

・組織治癒促進効果のある超音波機器(コンビネーション)治療を施行。

包帯固定施行。

太ももの打撲(ももかん)

受傷直後にできるだけ膝を曲げた状態でアイシング固定を行うと血腫の拡大を予防できます。

サッカーやラグビーなど相手の膝が太ももに強くぶつかることで筋肉損傷を引き起こします。ひどい場合は筋肉の中に血腫が形成され、歩くことや膝を曲げることが困難となります。

重症度のおおよその鑑別として寝た状態でどのくらい膝が曲がるかで判定します。膝を曲げる角度が90度以上の場合は軽度、90°~45°は中等度、45°以下は重度となります。

受傷後特に大事なことは早期にRICE処置(Rest:安静、ICE:冷却、Compression:圧迫、Elevation:挙上)を行うことです。受傷後すぐであればまだ腫れが少ないため膝を曲げることが可能なことが多いです。その場合は筋肉内の血腫の拡大を防ぐために可能な限り膝は曲げた状態で固定と良いです。

時間が経過して太ももが腫れてくると膝を曲げることが困難となるため膝を伸ばした状態でアイシングを行います。

サッカーやラグビーなど相手の膝が太ももに強くぶつかることで筋肉損傷を引き起こします。ひどい場合は筋肉の中に血腫が形成され、歩くことや膝を曲げることが困難となります。

重症度のおおよその鑑別として寝た状態でどのくらい膝が曲がるかで判定します。膝を曲げる角度が90度以上の場合は軽度、90°~45°は中等度、45°以下は重度となります。

受傷後特に大事なことは早期にRICE処置(Rest:安静、ICE:冷却、Compression:圧迫、Elevation:挙上)を行うことです。受傷後すぐであればまだ腫れが少ないため膝を曲げることが可能なことが多いです。その場合は筋肉内の血腫の拡大を防ぐために可能な限り膝は曲げた状態で固定と良いです。

時間が経過して太ももが腫れてくると膝を曲げることが困難となるため膝を伸ばした状態でアイシングを行います。

 

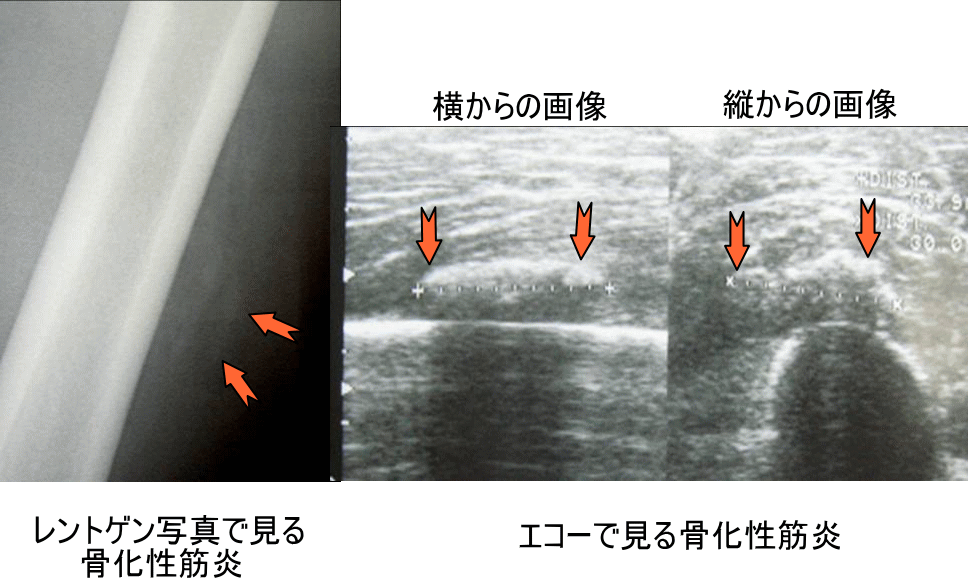
大腿部の衝撃は骨に当たって深部に血腫を形成する

特に重度のチャーリーホースの場合は上図のように血腫が大腿骨付近に形成されるため修復過程で骨化が生じ、骨化性筋炎という状態になることがあります。(打撲の後に膝がなかなか曲がらない、筋肉が突っ張って痛いなどの症状は骨化性筋炎が疑われます。)

骨折の治療期間を約40%短縮。
20分間超音波治療器を骨折部に直接あてます。痛みなどの刺激は全くないため子どもでも安心してご利用可能です。

当院の酸素カプセルは中川区・港区で唯一の最新型酸素カプセルです。通常の酸素カプセルよりも高濃度酸素を実現し早期回復を促します。

  • 1
    固定中の治療

【保険内治療】

①固定中は関節を動かさないことにより筋肉の硬さなどが生じます。固定が外れた後に関節が硬くなり動きが悪くなることを予防することが早期回復に絶対必要になります。硬くならないよう早期からリハビリ治療をすることが重要です。

【以下は保険外治療になります】

1日でも早く回復されたい方向け

超音波骨折治療器(オステオトロン) 300円/1回

骨折に対する最新の専用治療器であるオステオトロンを使用することで骨折の早期回復が期待できます。(骨折の治癒期間を約40%短縮)。

酸素カプセル治療 2000円~/1回

世界のトップアスリートがケガの治療で使用し早期復帰を実現している酸素カプセル!

1日でも早く骨折を回復させたい方が使用し早期復帰を実現しております。

  • 2
    固定が外れてからのリハビリ(保険治療

固定により膝関節周囲の動きが硬くなり運動制限が生じやすくなります。当院ではリハビリ専門職である理学療法士の資格をもった施術者が状態にあわせた適切なリハビリ治療を行っております。しっかりとリハビリを行うことによりほとんどが日常生活に支障ない状態まで回復することが可能です。

スポーツ復帰を目指す方に対してはスポーツ復帰にむけたアスレティックリハビリテーションも積極的に行っているためスポーツをされている方も安心して治療をお任せ下さい。

執筆者
柔道整復師・理学療法士
森ファミリー接骨院 院長 森
 

当院では子供から高齢者までどんな症状でも対応できる自信と豊富な経験があります。

患者さんが納得できる説明を心がけ、最適なリハビリ治療を行います。

常に最新の知識や技術勉強会へ参加し、少しでも患者さんの力になれるよう努めています。

中川区・名古屋市港区を中心に中村区、熱田区、南区、緑区、中区、昭和区、あま市、蟹江町、弥富、飛島など名古屋市外からも多くの方にご来院いただいております。

痛みやしびれ、ケガ、交通事故後の後遺症などで悩まれている方の少しでもお力になれればと思っております。

リハビリ治療が評判の森ファミリー接骨院(中川区・名古屋市港区)へご相談下さい。

お電話でのお問合せはこちら

052-383-1112

名古屋市港区・中川区を中心に、チャーリーホース、モモカン・スポーツ時の痛みなどでお困りの患者様に来院いただいております。

森ファミリー接骨院
のご案内

名古屋市中川区東起町4丁目121-4

サイドメニュー