手首の骨折(橈骨遠位端骨折)
森ファミリー接骨院
(名古屋市中川区・港区)

名古屋市のおすすめ
接骨院ランキング1位
に選ばれました!

名古屋市の接骨院590院中で1位
(業界No1検索サイトの接骨ネット)

当接骨院では、手首の骨折治療もおこなっています。

手首骨折では、正しい処置と管理をしなければ、手首の動きが悪いままになる可能性があります。当接骨院では、手首骨折に対して必要であれば整復(ズレた骨の位置を元に戻す手技)を施します。整復をすることにより、手首骨折の痛み軽減。手首の動きが改善され、ギプス固定除去後のリハビリテーションが円滑に進みます。

整復が必要であった症例

この動画は、実際に手首骨折を起こし、整復が必要と判断したものであり、整復直後では、痛みの改善、手首の動きの改善がみられます。

このような状態を保つことで、日常生活だけでなくスポーツ復帰も早いです。

患者さまの声

名古屋市中川区在住

痛みが出てからすぐに行きました。その後に整形外科にも紹介してもらい、しっかりと原因を追求して治療をしてくれました。また、何かあったら来ようと思います。

 

名古屋市熱田区在住

痛めた時は、手首が動かなかったんですが、治療してもらい動くようになりました。不安なくスポーツも出来ています。

 

名古屋市中川区在住

痛みが出て、手首が動かなくなったんですが、今では痛みが取れて、スポーツも問題なくできています。また、ケガをしたら来ようと思います。

13歳 男性 手首骨折1

当院来院時

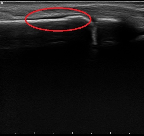
牽引前のエコー画像

牽引後のエコー画像

テニスプレイ中に転んで手をついて受傷。

手をついた直後、左手首に痛み出現。

手首を動かすことが困難な状態で当院に来院される。

エコー観察にて骨折と判断。

愛護的な牽引・簡易固定を施行。翌日の朝、提携先の整形外科に紹介・受診。

提携先の整形外科病院にて

レントゲン画像

MRI画像

レントゲン・MRI画像上、左橈骨遠位端部の骨折ありと診断。

整形外科にて前腕〜手部のギプス固定を施行。

当接骨院での治療

組織治癒促進効果のある超音波機器(オステオトロン)

固定除去後の初運動

固定除去後の初運動

経過のエコー観察(5週)

6週間後の手首動き

6週間後の手首の
動き

・当院にて前腕〜手部の清拭。

骨折治癒促進効果のあるオステオトロン(超音波)にて治療開始。

 

・骨折、約3週後にて固定除去。

手首運動開始。

 

・骨折後5週にてテニス開始。痛みなし。

日常生活においても痛みなく過ごせている。

エコー観察にて骨折のズレ等なしと判断。

 

・骨折後から6週にて手首の動き問題なし。痛みなし、テニスも問題なく行えており、完治とした。

12歳 男性 手首骨折2

当接骨院来院時

牽引前のエコー画像

牽引前エコー

牽引の手首の動き
(手首を反らす)

牽引の手首の動き
(手首をおろす)

後方に転んで左手をついた際に痛みあり。2日後当院来院し、エコー観察下にて手首の骨折と判断。

愛護的な牽引を施行。

牽引後

牽引の手首の動き
(手首を反らす)

牽引の手首の動き
(手首をおろす)

牽引後の手首のエコー

手首の牽引後、動きの改善、痛みの軽減あり。

手首固定作成。

当接骨院での治療

組織治癒促進効果のある超音波機器(オステオトロン)
前腕から手部にかけての固定

受傷から2週間のエコー

固定除去後の手首初運動

固定除去後の手首初運動

骨折から4週間の手首運動

骨折から4週間の手首運動

・当院にて前腕〜手部の清拭。

骨折治癒促進効果のあるオステオ(超音波)にて治療開始。

 

・骨折から2週間後、エコー観察下にてズレなし、手首の痛みなし。

固定除去し、徐々に運動開始とした。

 

・骨折から3週間にて、日常生活、野球のキャッチボール程度の強さを許可。痛みは出ておらず問題なし。

 

・骨折から4週後にて、野球フル参加。痛みなく、スポーツできているとのこと。手首の動きも問題なし。完治とした。

13歳 男性 手首骨折3

当接骨院来院時

牽引前のエコー

牽引後のエコー

サッカーのゴールキーパーにて左手でボールを止めた際に、左手首の痛み出現。動かせずに当院来院される。エコー観察下にて骨折と判断。

愛護的な牽引を施行。痛み軽減。

手首の動き改善。

当接骨院での治療

固定施行
骨折治癒促進効果のある超音波機器(オステトロン)

骨折治癒促進効果のある超音波機器(オステオトロン)

・固定作成。骨折治癒促進効果のある超音波機器(オステオトロン)を施行。

当接骨院での治療経過

受傷から1週間後の手首運動(反る)

受傷から1週間後の手首運動(おろす)

受傷から1週間のエコー

受傷から2週間後の手首運動(反らす)

受傷から2週間後の手首運動(おろす)

・当院にて前腕〜手部の清拭。

骨折治癒促進効果のあるオステオトロン(超音波)にて治療開始。

 

・骨折から1週間後、エコー観察下にてズレなし、手首の痛みなし。固定・超音波機器(オステオトロン)継続。

 

・骨折から2週間後、エコー観察にてズレなし、手首の痛みなし。固定を外し、手首運動開始、超音波機器(オステオトロン)継続。スポーツ開始とした。

12歳 女性 手首骨折④

当接骨院来院時

牽引前のエコー

牽引前のエコー

整形外科病院にて処方された固定

牽引の手首の動き(反る)

牽引の手首の動き(おろす)

転倒し、左手をついた際に左手首に痛み出現。整形外科にて骨折と診断される。

固定のみであり、不安なため当院来院され、エコー観察下にて骨折ありと判断。

 

牽引後

牽引後のエコー

牽引の手首の動き(反る)

牽引の手首の動き(おろす)

手首を動かすと痛いため、牽引を施行し、痛み消失。手首の動き改善が見られた。

整形外科病院にて処方された固定の着用を継続とした。

当接骨院での治療

骨折治癒促進効果のある超音波機器(オステオトロン)

骨折治癒促進効果のある超音波機器(オステオトロン)

骨折2週間後の手首の動き(反る)

骨折2週間後の手首の動き(おろす)

・当院にて前腕〜手部の清拭。

骨折治癒促進効果のあるオステオトロン(超音波)にて治療開始。

・骨折から2週間経過後、痛み軽度あり。手首運動時痛軽度あり。

骨折の治療期間を約40%短縮。
20分間超音波治療器を骨折部に直接あてます。痛みなどの刺激は全くないため子どもでも安心してご利用可能です。

当院の酸素カプセルは中川区・港区で唯一の最新型酸素カプセルです。通常の酸素カプセルよりも高濃度酸素を実現し早期回復を促します。

  • 1
    固定中の治療

【保険内治療】

①固定中は関節を動かさないことにより筋肉の硬さなどが生じます。固定が外れた後に関節が硬くなり動きが悪くなることを予防することが早期回復に絶対必要になります。硬くならないよう早期からリハビリ治療をすることが重要です。

【以下は保険外治療になります】

1日でも早く回復されたい方向け

超音波骨折治療器(オステオトロン) 330円~/1回

骨折に対する最新の専用治療器であるオステオトロンを使用することで骨折の早期回復が期待できます。(骨折の治癒期間を約40%短縮)。

酸素カプセル治療 2000円~/1回

世界のトップアスリートがケガの治療で使用し早期復帰を実現している酸素カプセル!

1日でも早く骨折を回復させたい方が使用し早期復帰を実現しております。

  • 2
    固定が外れてからのリハビリ(保険治療

固定により肩や手首、指の運動制限が生じます。当院ではリハビリ専門職である理学療法士の資格をもった施術者が状態にあわせた適切なリハビリ治療を行っております。しっかりとリハビリを行うことによりほとんどが日常生活に支障ない状態まで回復することが可能です。

スポーツ復帰にむけたアスレティックリハビリテーションも積極的に行っているためスポーツをされている方も安心して治療をお任せ下さい。

コーレス骨折(橈骨遠位端骨折)とは?

手首の骨折は子供と高齢者に多いことが知られています。よく折れる骨は前腕の親指側にある橈骨です。(図1)

特に手首に近い部分の骨折で転倒時に手のひらを着くことで発生するものを「コーレス骨折」と呼びます。

症状

手首の変形と腫れが現れ、強い痛みを伴います。骨折部分は末梢側(手先に近い側)の骨が手の甲側にずれるためフォークのような形に変形します。(図2)

転ぶ勢いが比較的軽いとずれや変形がほとんどなく骨折と意識されないこともあります。

手首の手のひら側には正中神経という指の感覚を支配する神経が通っています。その神経が骨折で圧迫を受けると親指や人差し指がしびれることもあります。(図3)

特徴的な変形(フォーク状変形)

青い領域がしびれることがある

診断、治療

当院ではエコーにて骨折の有無を確認します。骨折の治療には保存療法(ギプス)と手術療法(プレート固定)があります。骨折の損傷程度(関節面に骨折が及ぶなど)により治療法が異なります。

そのため、応急処置を行い医科にてレントゲンやCTの精査を依頼します。(骨折の治療は医師の指示のもと行っていきます)

一般的に保存療法の場合は徒手整復(骨折をもとの位置に手で戻す)を行い、4週~5週間固定したのちリハビリを行うのが一般的です。

患者さまの声

この接骨院に出会えて本当に良かったです!

手首の骨折手術後リハビリ

2023年3月末に自転車での転倒により、左手首を骨折しました。骨折後、職場近くの病院へ行き、ギブスで固定されました。家族がインターネットでケガに強い接骨院があると調べ、家族の身体が痛くなったことをきっかけに来院しました。家族が施術中に、先生に手首のケガを見せるとLINE登録して院長さんに相談してほしいという流れになりました。LINEで何度か連絡をするとすぐにでも専門医の診察を受けたほうが良いとのことで、時間外にも関わらず病院を紹介して頂き、予約まで取って頂きました。紹介された病院で診察、整復、固定→次の週にボルトを入れる手術と森先生に出会ったことでトントン拍子で治療が進みました。
治療はほぼ毎日、接骨院へ行き、酸素カプセル、超音波治療、先生たちによるリハビリ、電気など、多岐に渡るリハビリをして頂きました。特にすごいなって感じたのは、先生、一人一人が一つのケガを治療するために色々なアプローチをして頂くことです。身体を触るとどこが固いのか、どこが治療のジャマをしているのか、どこを揉みほぐせば良いのかがわかるみたいでした。さらに、手首の骨折箇所だけではなく、指から肘のあたりまで手首に関連するところをくまなく治療、リハビリして頂きました。
そのおかげで通い続けること1年以上の2024年5月15日に完治しました。
日常生活は問題なく送ることができますし、動かしにくい体制とかはありますが、後遺症や障がい等もなく動かせています。

森ファミリー接骨院を選んだ理由は
森先生のおかげで治療がうまく進んだこと、21時までオープンしてること、土曜日や祝日もオープンしていることで仕事後にリハビリに行けることもありますが、一番の理由は、ボルト手術後に森先生から『絶対、治しますから』という言葉を受けた時にこの接骨院を信じてみようと心の底から思いました。ありがとうございます。
この接骨院に出会えて本当に良かったです。ケガのことに無知すぎて何も知らなかったのですが、丁寧に色々教えて頂きました。また、先生たちも気さくでお話をしていると、あっという間にリハビリが終わっていることも何度もありました。
ちなみに病院の先生には接骨院でリハビリを受けることは反対されましたが、
『森ファミリー接骨院』でリハビリをしていきたいことを強く要望したら、接骨院に通えました。自分の身体のことなので、信じていたところに行けれて良かったです。

患者さまの声

しっかりとリハビリしてもらえました

転倒して手首を骨折

転倒して手首を骨折して病院と併用して接骨院でリハビリをお願いしました。

最初は全然動かなかったけどリハビリをしてもらい日常生活で全く支障がない程度まで良くなり本当に良かったです。

病院と併用し当院にてギプス中よりリハビリ治療を行いました。固定中からリハビリを行うことで指の硬さなども予防でき、ギプス除去後も可動域、筋力ともに順調に良くなっていきました。

大会に間に合わせると言われ心強かったです

10代男性(名古屋市港区在住)

小学生の子供が4週間後にバレーボールの大会を控えていたところ、転倒して右手首を骨折(ヒビ)してしまいました。

整形では2週間のシーネ固定と言われました。しっかり治して一日でも早く練習に復帰できればと思い、骨の形成を促進するというこちらのオステオトロン治療に通わせていただきました。
初診では院長先生がエコーで丁寧に骨折の状況を診て下さり、オステオトロンの適性な回数や費用、現状と今後の経過など説明して下さいました。
大会のことも伝えたところ、それまでには大丈夫ですとおっしゃって下さりとても心強かったです。
1週間ちょっと過ぎた頃から少しずつ手首のリハビリを始めて2週間後にシーネ固定が取れた時には握力も左右差なく可動域の明らかな制限もなく翌日から練習に復帰し、大会に向けて練習できています。
またもしも怪我をしてしまった時は伺いたいと思います。
ありがとうございました。

執筆者
柔道整復師・理学療法士
森ファミリー接骨院 院長 森
 

当院では子供から高齢者までどんな症状でも対応できる自信と豊富な経験があります。

常に患者さんが納得できる説明を心がけ、最適なリハビリ治療を行います。

常に最新の知識や技術勉強会へ参加し、少しでも患者さんの力になれるよう努めています。

中川区・名古屋市港区を中心に中村区、熱田区、南区、緑区、中区、昭和区、あま市、蟹江町、弥富、飛島など名古屋市外からも多くの方にご来院いただいております。

痛みやしびれ、ケガ、交通事故後の後遺症などで悩まれている方の少しでもお力になれればと思っております。

リハビリ治療が評判の森ファミリー接骨院(中川区・名古屋市港区)へご相談下さい。

お電話でのお問合せはこちら

052-383-1112

名古屋市港区・中川区を中心に、橈骨遠位端骨折・骨折後の後療法で患者様に来院いただいております。

気になる症状がある方は、森ファミリー接骨院にご相談ください。

森ファミリー接骨院
のご案内

名古屋市中川区東起町4丁目121-4

サイドメニュー